Home>> Products >> Antibody >> Tag Antibody >> GAPDH Polyclonal Antibody
  • Tel.: +86 021 5772 3955
  • Fax: +86 021 5772 3955
  • Orders for consulting: export@ylbiont.com
  • Technical consulting: william@ylbiont.com
  • Add.: 3577 Jinke Road, Zhangjiang Town, Pudong New Area, Shanghai

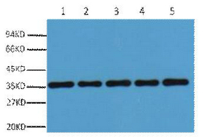
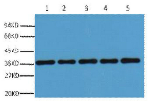
Product Name: GAPDH Polyclonal Antibody
GAPDH; GAPD; CDABP0047; OK/SW-cl.12; Glyceraldehyde-3-phosphate dehydrogenase; GAPDH; Peptidyl-cysteine S-nitrosylase GAPDH

Art No.: YLK0010

Application: WB IHC-P

Size: 100ug

Reaction: H, M, R, Rb, Ch, Mk, Sh, X

Inquire Now

Source:Rabbit

Size: 100ug

Price:inquiry

Immunogen:Synthetic Peptide

Concentration:1mg/ml

Storage:-20°C

Stability:1 year

Observed band (KDa): 37

Specificity: The antibody detects endogenous GAPDH protein.

Purification: The antibody was affinity-purified from rabbit antiserum by affinity-chromatography using specific immunogen.

Formulation:PBS, pH 7.4, containing 0.02% sodium azide as Preservative and 50% Glycerol


Recommended dilution:WB: 1:5000 IHC-P:1:200


Human Gene ID: 2597

Human Swiss-Prot No:P04406

Mouse Gene ID:100042025

Mouse Swiss-Prot No:P16858

Rat Gene ID:24383

Rat Swiss-Prot No :P04797


Copyright © Shanghai YL Biotech Co., Ltd All Rights Reserved

Technical Support:

Contact Us
  • Tel.: +86 021 5772 3955
  • Fax: +86 021 5772 3955
  • Orders for consulting: export@ylbiont.com
  • Technical consulting: william@ylbiont.com
  • Add.: 3577 Jinke Road, Zhangjiang Town, Pudong New Area, Shanghai
Top