Home>> Products >> Antibody >> Tag Antibody >> β-Tubulin Monoclonal Antibody
  • Tel.: +86 021 5772 3955
  • Fax: +86 021 5772 3955
  • Orders for consulting: export@ylbiont.com
  • Technical consulting: william@ylbiont.com
  • Add.: 3577 Jinke Road, Zhangjiang Town, Pudong New Area, Shanghai

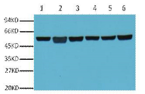
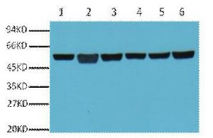
Product Name: β-Tubulin Monoclonal Antibody
TUBB3; TUBB4; Tubulin beta-3 chain; Tubulin beta-4 chain; Tubulin beta-III

Art No.: YLK0014

Application: WB IHC-P

Size: 100ug

Reaction: H, R, M, Mk, Dg, Ch, Hm, Rb, Sh, Insect, Yeast

Inquire Now

Source:Mouse

Size: 100ug

Price:inquiry

Immunogen:Synthetic Peptide

Concentration:1mg/ml

Storage:-20°C

Stability:1 year

Predicted band (Da):50433

Observed band (KDa): 55

Specificity: The antibody detects endogenous β-tubulin protein

Purification: The antibody was affinity-purified from mouse ascites by affinity-chromatography using specific immunogen.

Formulation:PBS, pH 7.4, containing 0.02% sodium azide as Preservative and 50% Glycerol


Recommended dilution:WB: 1:5000 IHC-P: 1:200

 

Human Gene ID: 10381

Human Swiss-Prot No:Q13509

Mouse Gene ID:22152

Mouse Swiss-Prot No:Q9ERD7

Rat Gene ID:246118

Rat Swiss-Prot No :Q4QRB4


Copyright © Shanghai YL Biotech Co., Ltd All Rights Reserved

Technical Support:

Contact Us
  • Tel.: +86 021 5772 3955
  • Fax: +86 021 5772 3955
  • Orders for consulting: export@ylbiont.com
  • Technical consulting: william@ylbiont.com
  • Add.: 3577 Jinke Road, Zhangjiang Town, Pudong New Area, Shanghai
Top